Especialidades dentales
Odontología estética
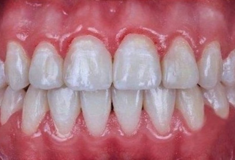
Odontología estética: la armonía de una sonrisa saludable y atractiva
La odontología estética se centra en mejorar la apariencia de los dientes, encías y sonrisa, combinando salud bucodental con armonía facial. Más allá de lo visual, este tipo de odontología también contribuye al bienestar general del paciente, mejorando su autoestima, seguridad y calidad de vida.
Gracias a los avances en técnicas y materiales, hoy es posible transformar una sonrisa de forma natural, duradera y mínimamente invasiva. En Clínica Dental Pose contamos con una amplia gama de tratamientos estéticos, que se adaptan a las necesidades y objetivos de cada paciente:

Tratamientos personalizados para tu bienestar dental
«En Clínica Dental Pose ofrecemos una amplia variedad de tratamientos, diseñados para cuidar tu salud bucal en todas las etapas de la vida.
Desde la prevención hasta la estética, todo en un solo lugar.»

Blanqueamiento dental
Elimina manchas y devuelve el brillo natural a los dientes.

Carillas dentales
Corrigen imperfecciones como dientes desalineados, desgastados o con forma irregular.

Contorneado estético
Pequeñas modificaciones en el contorno dental para lograr mayor simetría y armonía.

Reconstrucciones estéticas
Restauraciones invisibles que se integran perfectamente con el color natural del diente.

Ortodoncia estética
Alineadores invisibles o brackets cerámicos que corrigen la posición dental sin alterar la imagen.

Sonrisa natural, cuidada y en equilibrio con tu rostro
Cada tratamiento comienza con un estudio personalizado para evaluar la estructura facial, la mordida, el color dental y las proporciones, asegurando resultados equilibrados y realistas.
En Clínica Dental Pose apostamos por una sonrisa natural, cuidada y en equilibrio con tu rostro, y lo hacemos con un enfoque cercano, tecnología avanzada y profesionales especializados en estética dental.
ANTES Y DESPUÉS DE NUESTROS PACIENTES
GALERÍA DE SONRISAS
Echa un vistazo a algunos casos de éxito en pacientes felices con el resultado de su tratamiento.





