Especialidades dentales
Blanqueamiento dental
Blanqueamiento dental: ilumina tu sonrisa de forma segura
El blanqueamiento dental es uno de los tratamientos estéticos más demandados en odontología por su capacidad de devolver el brillo y la blancura natural a los dientes de forma rápida, segura y eficaz.
Con el paso del tiempo, el consumo de ciertos alimentos, bebidas como el café o el vino tinto, el tabaco y otros factores pueden oscurecer el esmalte dental. El blanqueamiento actúa sobre estas manchas sin dañar la estructura del diente, mejorando notablemente su apariencia.

Una sonrisa más blanca no solo rejuvenece tu rostro, sino que también aumenta tu confianza. Y lo mejor: con un cuidado adecuado, los resultados pueden mantenerse durante mucho tiempo.

Resultados visibles, de forma segura
En Clínica Dental Pose trabajamos con técnicas profesionales y productos de alta calidad que permiten aclarar varios tonos en una o pocas sesiones. Además, realizamos una valoración previa para asegurar que el tratamiento es adecuado para ti, y ofrecemos distintas opciones: en clínica, ambulatorio (en casa) o combinadas, siempre bajo supervisión profesional.
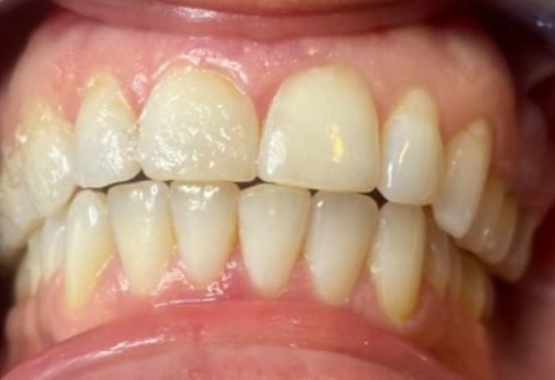
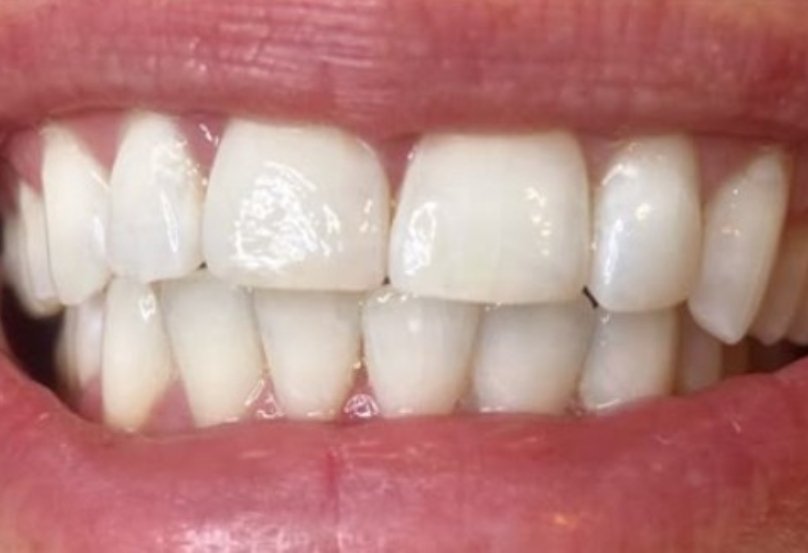
ANTES Y DESPUÉS DE NUESTROS PACIENTES
GALERÍA DE SONRISAS
Echa un vistazo a algunos casos de éxito en pacientes felices con el resultado de su tratamiento.





