Especialidades dentales
Restauración dental
Restauraciones Dentales: Recupera la salud y estética de tu sonrisa
Las restauraciones dentales son tratamientos destinados a reparar o reemplazar estructuras dentales dañadas por caries, fracturas, desgaste o traumatismos. Su objetivo principal es recuperar la funcionalidad, estética y salud bucal, permitiendo al paciente volver a masticar, hablar y sonreír con normalidad y confianza.

En Clínica Dental Pose, utilizamos materiales de alta calidad y tecnología avanzada para asegurar restauraciones duraderas, seguras y con un acabado estético natural. Nuestro equipo evalúa cada caso de forma personalizada para encontrar la mejor solución que se adapte a tu sonrisa y estilo de vida.
Tipos de restauraciones dentales
Existen distintos tipos de restauraciones, que se eligen según el daño del diente y las necesidades de cada persona. Algunas de las más comunes incluyen:

Obturaciones (empastes)
Ideales para reparar caries pequeñas o moderadas

Incrustaciones
Recomendadas cuando la estructura del diente está más dañada, pero no requiere una corona completa

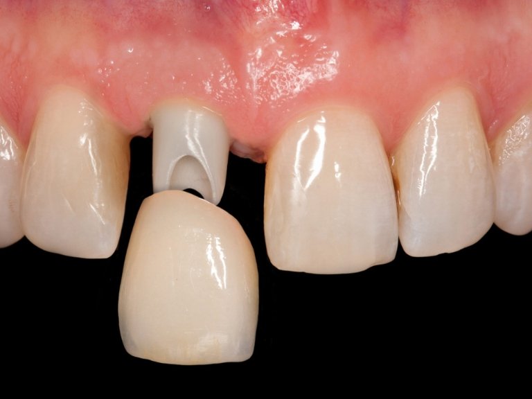
Coronas
Recubren totalmente el diente dañado, devolviendo su forma y función.

Carillas
Mejoran la estética dental cubriendo el frente de los dientes.

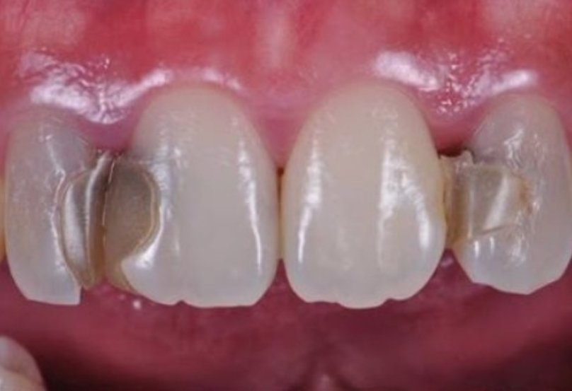
Puentes o prótesis fijas
Reemplazan uno o más dientes ausentes, apoyándose en dientes vecinos o implante
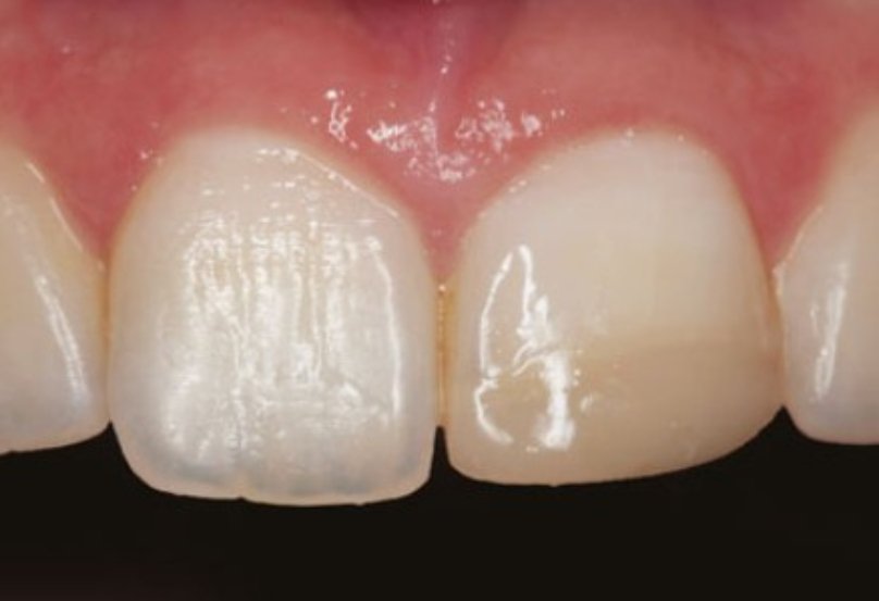
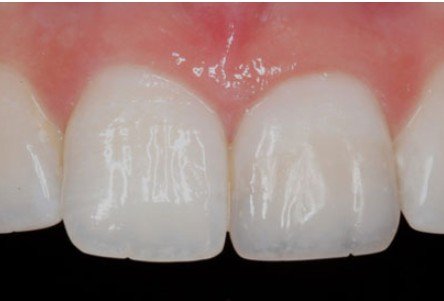
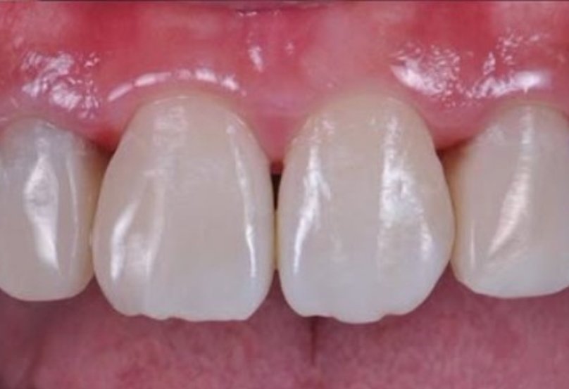
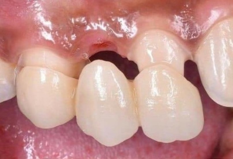
ANTES Y DESPUÉS DE NUESTROS PACIENTES
GALERÍA DE SONRISAS
Echa un vistazo a algunos casos de éxito en pacientes felices con el resultado de su tratamiento.





