Especialidades dentales
Revisiones Generales
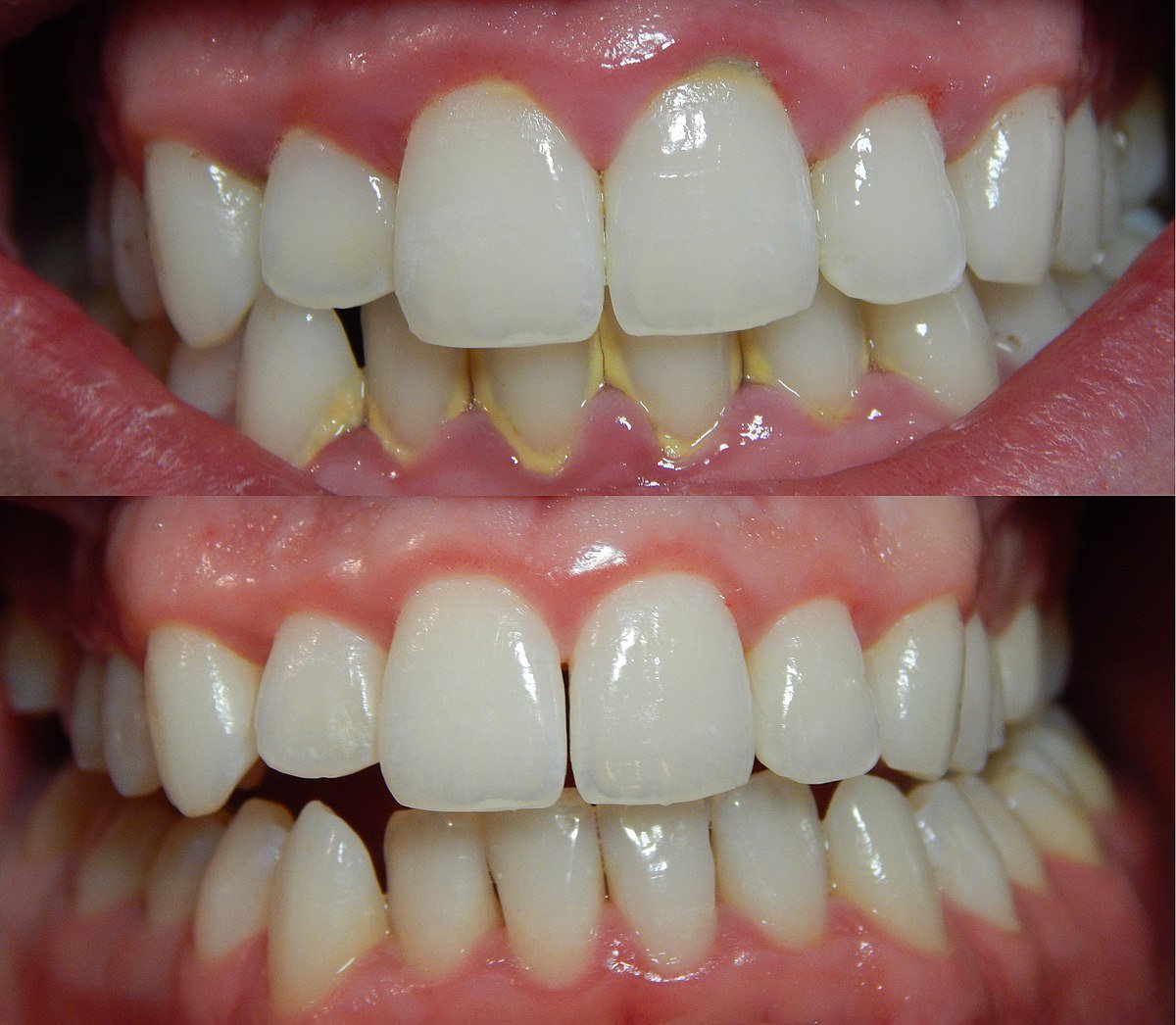
Revisiones Generales: La clave para una sonrisa sana a largo plazo
Las revisiones generales son una parte esencial del cuidado de la salud bucodental. Muchas veces solo acudimos al dentista cuando sentimos dolor o molestias, pero la prevención es la mejor herramienta para evitar tratamientos más complejos y costosos en el futuro.
En Clínica Dental Pose, recomendamos realizar una revisión general al menos una vez al año, aunque la frecuencia puede variar según cada paciente. Durante esta visita, nuestros profesionales llevan a cabo una evaluación completa del estado de tu boca: dientes, encías, lengua, articulaciones y tejidos blandos. También se revisan restauraciones antiguas, se detectan posibles caries incipientes y se valora la higiene bucal.

Además, si es necesario, se realizan radiografías diagnósticas para observar áreas que no son visibles a simple vista,
lo que nos permite detectar problemas en etapas tempranas, como infecciones, desgaste del esmalte o alteraciones óseas.
¿Por qué son tan importantes?

Previenen enfermedades como caries, gingivitis o periodontitis.

Permiten un diagnóstico temprano, evitando complicaciones mayores.

Ahorran tiempo y dinero, al reducir la necesidad de tratamientos más invasivos.

Contribuyen a tu bienestar general, ya que muchas enfermedades sistémicas tienen signos que aparecen en la boca.
Cuidar tu sonrisa comienza con una revisión.
Las revisiones generales también son el momento ideal para resolver dudas, recibir recomendaciones personalizadas sobre hábitos de higiene o alimentación, y establecer un plan de tratamiento si fuera necesario.
En Clínica Dental Pose, estamos aquí para acompañarte en cada etapa con atención cercana y profesional. ¡No esperes a tener dolor para visitarnos!
