Especialidades dentales
Implantes Dentales

Implantes Dentales: Recupera tu sonrisa con seguridad y naturalidad
Los implantes dentales son una de las soluciones más eficaces y duraderas para reemplazar dientes perdidos. No solo mejoran la estética de tu sonrisa, sino que también restauran la funcionalidad de la boca, permitiéndote comer, hablar y sonreír con total confianza.
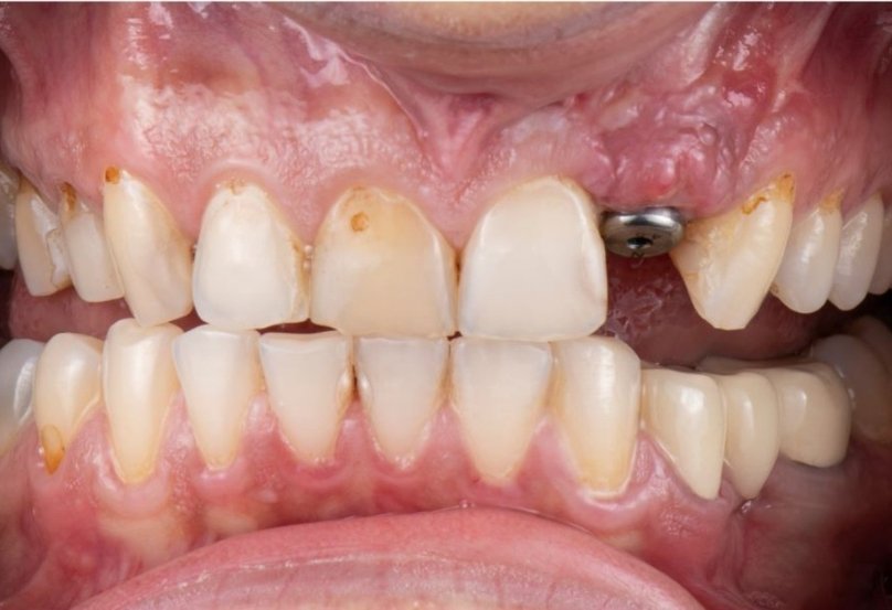
Un implante dental es una estructura de titanio que se coloca quirúrgicamente en el hueso maxilar, actuando como una raíz artificial. Sobre esta base se coloca una corona dental que imita perfectamente la forma y color del diente natural, logrando un resultado estético y funcional prácticamente indistinguible de los dientes reales.
¿Por qué elegir implantes dentales?
Porque ofrecen una solución fija, duradera y estéticamente natural para reemplazar dientes perdidos. A diferencia de otras alternativas, los implantes se integran al hueso, lo que permite mantener la estructura facial y evitar la pérdida ósea con el tiempo.
Además, te permiten comer, hablar y sonreír con total confianza, sin preocuparte por movimientos incómodos o adhesivos. No afectan a los dientes sanos cercanos y requieren un mantenimiento similar al de tus dientes naturales.
En definitiva, si buscas recuperar la funcionalidad y la belleza de tu sonrisa con una opción segura y moderna, los implantes dentales son la mejor elección.
Solución fija y duradera: a diferencia de las prótesis removibles, los implantes no se mueven ni necesitan adhesivos.
Preservan el hueso: al integrarse al hueso, ayudan a prevenir su pérdida y el deterioro del contorno facial.
Evitan desgastar otros dientes: no es necesario tallar los dientes vecinos como ocurre con los puentes tradicionales.
Apariencia natural: el resultado es estético, cómodo y completamente funcional.
Todo el procedimiento se realiza bajo estrictas medidas de seguridad y confort, y en muchos casos puede complementarse con sedación consciente para garantizar una experiencia tranquila y sin dolor.
Recupera tu sonrisa, tu confianza y tu calidad de vida. Los implantes dentales pueden ser el primer paso.
¿Cómo es el proceso?
En Clínica Dental Pose, trabajamos con tecnología de vanguardia y materiales de alta calidad para asegurar resultados excelentes. Nuestros especialistas te acompañarán en cada paso del tratamiento, resolviendo tus dudas y ofreciéndote una atención cercana, profesional y totalmente personalizada.
Todo el procedimiento se realiza bajo estrictas medidas de seguridad y confort, y en muchos casos puede complementarse con sedación consciente para garantizar una experiencia tranquila y sin dolor.
Antes de iniciar cualquier tratamiento, realizamos un estudio detallado de tu salud bucodental con tecnología avanzada. Esto nos permite diseñar un plan personalizado, seguro y adaptado a tus necesidades, asegurando los mejores resultados desde el primer paso.
La colocación del implante es un procedimiento quirúrgico sencillo y seguro, realizado bajo anestesia local. Consiste en insertar un pequeño tornillo de titanio en el hueso maxilar o mandibular, que actuará como raíz del diente artificial. Tras su colocación, se inicia un proceso de cicatrización e integración ósea que garantizará la estabilidad y durabilidad del implante.
Después de colocar el implante, comienza el proceso de osteointegración, en el que el hueso se adhiere al implante de forma natural. Este período, que suele durar entre 2 y 4 meses, es fundamental para garantizar la estabilidad y el éxito del tratamiento a largo plazo. Durante este tiempo, el paciente puede hacer vida normal con algunos cuidados básicos.
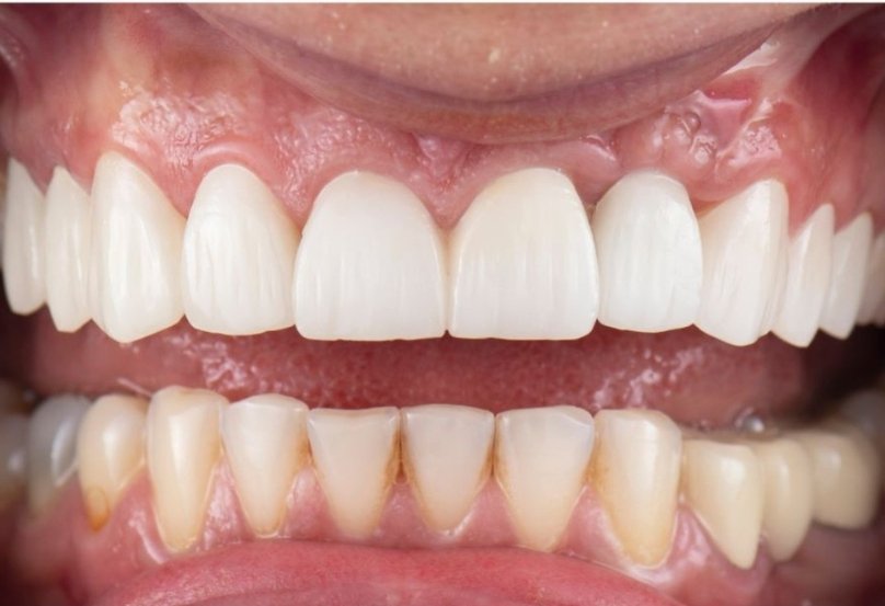
Una vez completada la integración del implante al hueso, se coloca la corona definitiva: una pieza personalizada que imita la forma, color y función de un diente natural. Esta última fase devuelve por completo la estética y funcionalidad a tu sonrisa, permitiéndote masticar, hablar y sonreír con total normalidad.
ANTES Y DESPUÉS DE NUESTROS PACIENTES
GALERÍA DE SONRISAS
Echa un vistazo a algunos casos de éxito en pacientes felices con el resultado de su tratamiento.





