Especialidades dentales
Ortodoncia
Ortodoncia: salud y estética en perfecta armonía
La ortodoncia es la especialidad odontológica encargada de corregir la posición de los dientes y la alineación de la mordida. Más allá de los beneficios estéticos, una buena alineación dental también mejora la funcionalidad de la boca, previene problemas en las encías, evita el desgaste dental y facilita la higiene bucal.

Trabajamos con distintas técnicas y dispositivos
En Clínica Dental Pose ofrecemos tratamientos de ortodoncia para todas las edades, desde niños hasta adultos. Permitiendo a cada paciente elegir la opción que mejor se adapte a su estilo de vida y necesidades.

Brackets metálicos tradicionales

Brackets estéticos

Ortodoncia invisible (alineadores transparentes)

Tu sonrisa comienza con un buen plan
Antes de comenzar cualquier tratamiento, realizamos un estudio detallado con tecnología digital para diseñar un plan personalizado. Esto nos permite prever los movimientos dentales, estimar la duración del tratamiento y ofrecer resultados predecibles y eficaces.
Una sonrisa bien alineada no solo mejora tu apariencia, sino también tu salud bucal general. La ortodoncia es una inversión en bienestar, autoestima y calidad de vida.
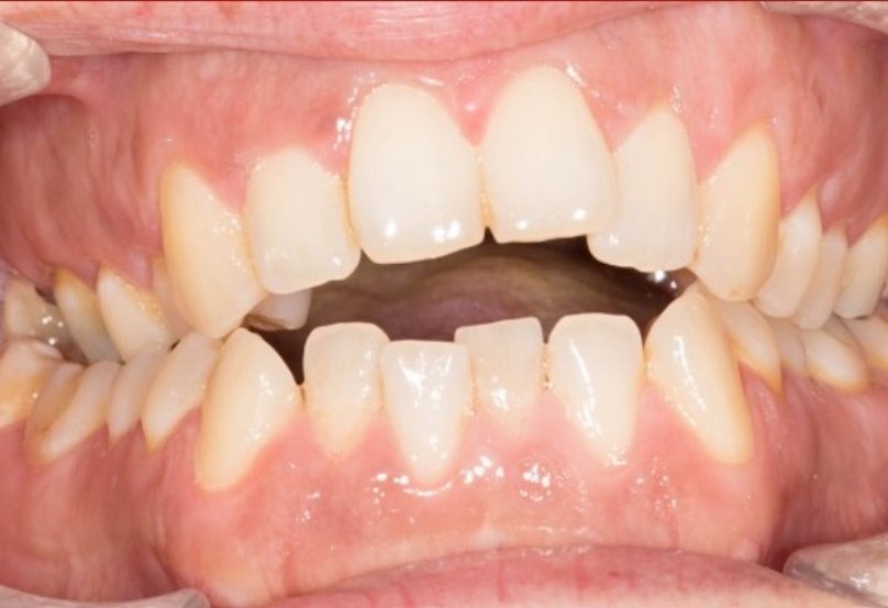
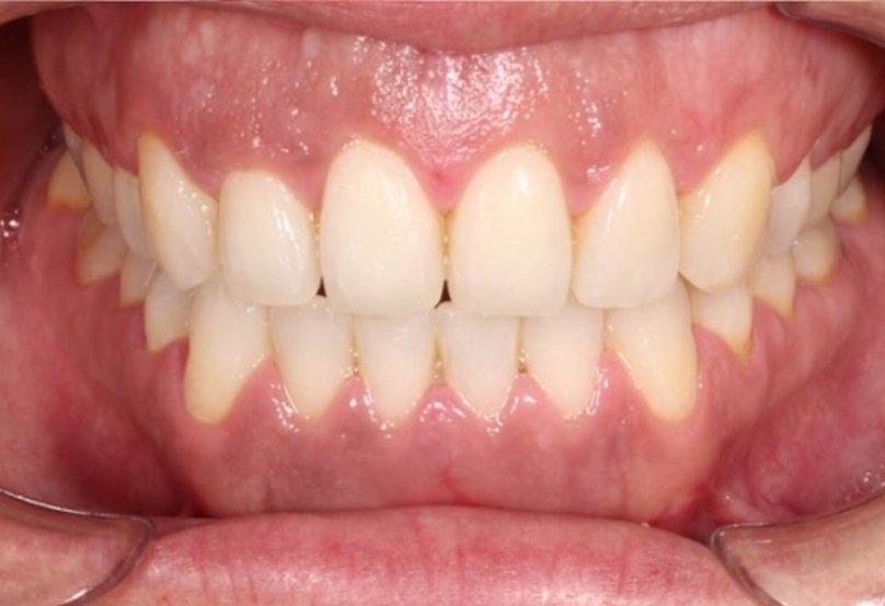
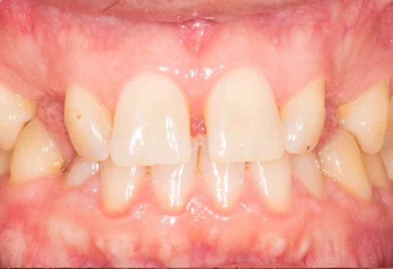
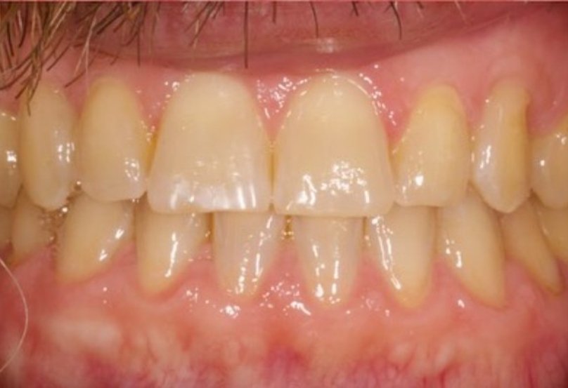
ANTES Y DESPUÉS DE NUESTROS PACIENTES
GALERÍA DE SONRISAS
Echa un vistazo a algunos casos de éxito en pacientes felices con el resultado de su tratamiento.





